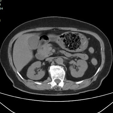
最近有几个吃山楂后形成胃结石的病历,第一个,老年女性,突发腹痛2天,持续性钝痛,阵发性加重,伴恶心,呕吐胃内容物,性状无异常,呕吐后无缓解,入院后抑酸治疗效果不理想,CT如下图。


考虑胃内结石,予以碳酸氢钠和可乐口服,第二天症状缓解,因为有别的问题,没有胃镜证实。
因为非影像专业,自己总结肠道植物性结石的特点,混杂密度,多数边缘规则,与正常胃、肠壁结构分界清晰,临床考虑多数急性起病,关键是要问近期是否有大量食用柿子、山楂、黑枣等富含鞣酸食物。
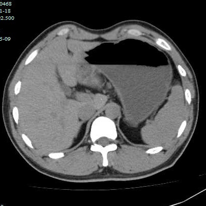
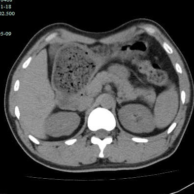
第二个病例,青年男性,也是突然腹痛,症状和第一个类似,首选腹部CT。


胃镜证实


同样治疗后痊愈出院
评论