幽门螺旋杆菌感染相关胃炎胃镜下表现-老苏
老苏
    • 登录
      注册
      找回密码
  • 首页
  • 工具
    • Fodmap查询
老苏
  • 首页
  • 工具
    • Fodmap查询
登录
注册
找回密码
  • 首页
  • 未分类
  • 正文

幽门螺旋杆菌感染相关胃炎胃镜下表现

loveatj的头像-老苏
loveatj
5年前发布
关注私信
268

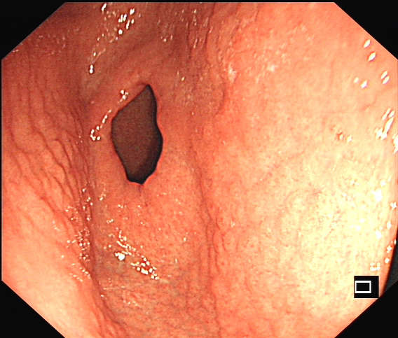
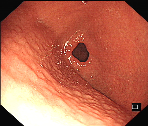
幽门螺旋杆菌感染临床上颇为常见,本次查看体检结果,发现一个“珍珠胃”的,其实就是胃窦结节样改变,这个是幽门螺旋杆菌感染内镜下最典型的一个表现了,其他的还有粘膜发红充血、息肉等,相对来说缺乏一些特异性。
幽门螺旋杆菌感染相关胃炎胃镜下表现

幽门螺旋杆菌感染相关胃炎胃镜下表现

幽门螺旋杆菌感染相关胃炎胃镜下表现

幽门螺旋杆菌感染相关胃炎胃镜下表现

THE END
未分类
喜欢就支持一下吧
点赞8 分享
QQ空间微博QQ好友海报分享复制链接
收藏

上一篇

各种各样的胃镜贲门图

下一篇

关于孟氏溶液
高胆红素血症 (0)食管裂孔疝 (0)食管胃底静脉曲张 (0)食管癌 (0)食管痉挛 (0)食管憩室 (0)食管 (0)静脉曲张 (0)铁蛋白 (1)铁代谢 (1)钾离子竞争性酸阻滞剂 (0)造影 (0)进食困难 (1)贲门失弛缓 (2)质子泵抑制剂 (0)药敏试验 (1)腹痛 (1)胰腺 (0)胆红素 (0)胆管 (0)
  • 老苏

    冀ICP备19026844号-4 · 冀公网安备13053402000430号
  • 躺下就睡 坐着不酸 站着不累 关于我们

    Copyright © 2025 · 老苏 · 路虽远,行则将至
在手机上浏览此页面

老苏
登录
没有账号?立即注册
用户名或邮箱
登录密码
找回密码
注册
已有账号,立即登录
设置用户名
设置密码
重复密码