病例描述
一名健康的41岁女性因上腹疼痛、恶心、呕吐伴发烧4天来就诊。
入院时该患者发热至40.1 C,她的血压、心率和血氧饱和度均正常。而实验室检查结果发现C-反应蛋白达到了190 mg/L(参考范围 <5 mg / L),白细胞计数为21,600/mm3(参考范围,4500-10,500 / mm3)。
肝酶,胰脂肪酶和胆红素都在正常范围内。
腹部计算机断层扫描结果提示胃窦壁增厚(图A)。
胃镜检查显示胃窦严重扭曲,伴有瘘管(图B,C)。
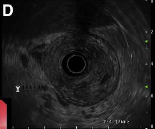
内窥镜超声检查显示胃窦壁周围增厚达20mm,且粘膜下层内存在不均匀低回声区(图D)。
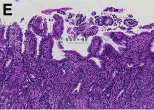
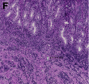
内镜下活检后,组织病理学提示粘膜和粘膜下层中性粒细胞广泛浸润(图E,F)。
微生物培养物显示链球菌(S pyogenes,viridans group streptococci)和粘滑罗斯菌呈阳性。
诊断是什么呢?
蜂窝织炎性胃炎
治疗与转归
患者接受了静脉注射的抗生素(阿莫西林/克拉维酸6.6 g / d)和质子泵抑制剂(埃索美拉唑80 mg / d)。几天之内,她的临床状况得到了改善,腹部超声检查提示:胃壁的厚度发生消退。
我们也对该病的易感因素做了实验室检查,如糖尿病、人类免疫缺陷病毒感染或免疫球蛋白缺乏症等,但未发现该患者有任何以上提及的疾病。
2周后,停止抗生素治疗。6个月后,随访胃镜检查结果显示,该患者胃内炎性变化完全消退。
总结与讨论
蜂窝织炎性胃炎是一种罕见但可能危及生命的胃壁细菌感染。自从在1862年人类第一次发现该病的存在后,全世界陆陆续续报道了大约500例。而有关它的第一份报告可追溯到抗生素发明前,当时该病的致死率相当高,可达90%。直到今日,蜂窝织炎性胃炎仍可威胁生命。
在大约一半的病例中,患者都处于免疫缺陷状态,比如合并糖尿病,人免疫缺陷病毒感染或酒精中毒等。
此外,胃活组织检查的结果也许能预测蜂窝织炎性胃炎的发展。
链球菌属占大多数比例,大约从70%的蜂窝织炎性胃炎的患者身上可分离出链球菌。其他微生物如葡萄球菌属、大肠杆菌流感嗜血杆菌和变形杆菌等梭菌属(Clostridium spp)等也被认为与这种罕见病症有关。患蜂窝织炎性胃炎的患者通常会出现一些非特异性症状,如腹痛、发烧、恶心、呕吐、呕血或腹泻等。
因为蜂窝织炎性胃炎的自然病程相当严重,对高度疑似该病的患者及时给予广谱抗生素是至关重要的。
在初步诊断之前,计算机断层扫描和经腹部超声检查也有辅助作用。
蜂窝织炎性胃炎患者的内窥镜超声检查通常表现为胃部弥漫性增厚,可存在于其他粘膜下病变(如类癌或平滑肌瘤)患者中不常见的粘膜下壁层低回声。
如果活检取到了足够的粘膜下层,则通过活检即可确认诊断蜂窝织炎性胃炎。
若经保守治疗无效,可考虑行手术治疗。
[s][p]
怎么样,是不是万万没想到?
事实上,在2009年,《中国消化内镜杂志》也提到过这样的病例,名为《急性化脓性胃炎一例并文献复习》。小编在此就不再赘述了,感兴趣的朋友可以翻翻!
希望这份病例对你有帮助!
医脉通编译整理自:Gina Treichler,Antonia Töpfer,and Bernhard Morell,A Rare Cause of Fever and Abdominal Pain,2019 , 156 ( 8 )2142-2143.
[/p]






