最新发布第5页
排序
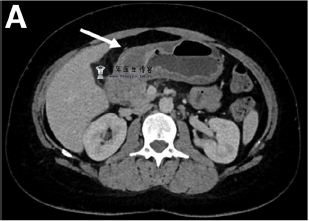
McKittrick-Wheelock综合征
McKittrick-Wheelock综合征(MWS)于1954年首次出现,是一种非常罕见的疾病,以结直肠高分泌性绒毛状腺瘤所导致的大量腹泻、严重电解质紊乱及肾功能异常三联征为主要特点。Orchard等于2018年对2...
肠淋巴管扩张症 (IL)
肠淋巴管扩张症(IL)是一组以淋巴管扩张为特征的罕见蛋白丢失性肠病。其病理生理学包括小肠淋巴引流阻塞伴黏膜、黏膜下或浆膜下淋巴管继发性扩张、破裂、瓣膜功能受损,导致富含蛋白、脂肪和淋...
关于PPI处方精简的10条最佳实践建议
1. 所有服用PPI的患者均应定期审查是否具有PPI使用指征并记录该指征。该审查应由患者的初级保健医生负责。 2. 所有无明确长期PPI使用指征的患者均应考虑进行PPI处方精简。 3. 大多数有长期PPI使...
腹痛的常见病因
腹部病变 [mark_a]炎症性:由炎症性疾病引起的腹痛在临床上最为常见,腹痛特点包括:①疼痛由模糊到明确,由轻到重;②疼痛为持续性,由时间相对短暂的内脏神经痛发展到躯体性疼痛;③病变所在...
以眼睑水肿起病的梅_罗综合征1例
MRS又称复发性唇面水肿面瘫综合征、肉芽肿性唇炎综合征、巨唇-面瘫-皱襞舌综合征等,是一种少见的非干酪性肉芽肿性疾病。唇肿、面瘫、舌裂为主要临床表现。临床上根据有无肉芽肿这一病理特...
吞咽困难患者1例
病例 女性,51岁,吞咽不畅6月就诊,伴有烧心。母亲因胃癌去世。 首先进行了检查,结果如下 看似没有什么问题,有点小的“裂孔疝”。为进一步明确,隔日进行了食管测压。 从结果看,平滑肌近段...
胃癌诊疗规范(2018年版)
一、概述 胃癌(Gastric Carcinoma)是指原发于胃的上皮源性恶性肿瘤。在我国胃癌发病率仅次于肺癌居第二位,死亡率排第三位。全球每年新发胃癌病例约120万,中国约占其中的40%。我国早期胃癌占...
蜂窝织炎性胃炎一例
病例描述 一名健康的41岁女性因上腹疼痛、恶心、呕吐伴发烧4天来就诊。 入院时该患者发热至40.1 C,她的血压、心率和血氧饱和度均正常。而实验室检查结果发现C-反应蛋白达到了190 mg/L(参考范...
2021-09-08更新 | 超全的全国+港台+各地IPTV直播源,21年最新版
废话不多说哈,在去年整理过两期直播源,深受大家的欢迎,奈何已“年久失修”,近期也不断有同学反馈直播源地址已失效,希望能重新整理一份。 今天就来安排一下。 直播源是干什么的 先简单说下...







