最新发布第4页
排序
胆病科普研究所|如何检测胆囊收缩(排空)功能?
保留胆囊取出结石的手术治疗在上世纪90年代就已开始,目前在国内较多单位开展,中华医学会胆道外科学组也正在进行胆囊结石清除术的全国多中心临床研究,目的是要客观评价该治疗方法对胆囊结石病...
CMI值
例如,上海市第十人民医院在开始DIP试点之后,十院根据前三年的记录,用DIP系统分组器进行分析,在实施过程中达到14000余个病例分组,对各区间CMI 值对应的效益指标进行分析,确定优势病种和待...
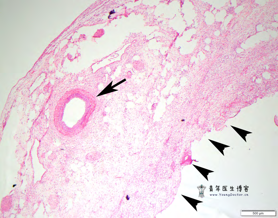
黏膜下恒径动脉破裂出血(Dieulafoy病)
从医脉通上看到的一个胆囊出血的病例 患者男,59岁,在轻度自限性右上腹疼痛两周的基础上,出现右上腹疼痛突然加重24小时。患者无发热、黄疸、呕吐或排便习惯改变,既往无手术及病史,既往无已...





