消化道内镜在食管疾病诊断得到广泛应用,使得食管疾病的诊断更加直接,但内镜检查是一种有创操作,并不是每个人都能接受。
钡餐造影在食管疾病依然有着独特的作用,能够反映食管管腔内病变,动态观察、反映器官功能状态。同时,相比于内镜,大大减少病人的痛苦;相比于CT,使得病人接受的放射线剂量大大减少。
在我们实际工作中,经常会见到食管造影的影像片,同时,食管疾病的种类很多,影像学表现很类似,同类疾病的影像学描述文字很多,给大家的记忆带来了困难。
为此,为大家总结了常见食管疾病的影像学图片,并用最简短的文字描述该疾病最具有特征性的影像学表现,希望大家能够对食管疾病有一个宏观的认识。在记住这些特征表现的基础上,再去记忆其他细枝末节的改变。
正常食管图像:


食管憩室:鼓个包。

食管中段憩室

食管中段巨大憩室
食管静脉曲张:蚯蚓样、串珠状。

食管重度静脉曲张


食管静脉曲张:食管黏膜呈现蚯蚓状

这是食管静脉曲张伴胃底静脉曲张的图像
食管平滑肌瘤:指压征,环形征。



单发的食管平滑肌瘤

多发的食管平滑肌瘤
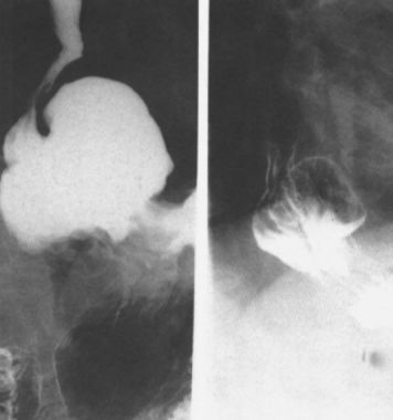
贲门失弛缓:鸟嘴征。

中度贲门失迟缓

重度贲门失迟缓
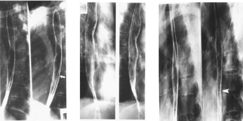
食管痉挛:螺旋状、波浪形。

食管痉挛:螺旋状、波浪状
反流性食管炎:针尖样钡点、颗粒状改变。


反流性食管炎,食管下端呈现颗粒状
食管裂孔疝:膈上疝囊。
食管裂孔疝有4种:短食管型、食管旁型、混合型、滑动型,每型都有不同的表现,但最直接的还是膈上疝囊。
食管裂孔疝的造影检查分别如下:

短食管型食管裂孔疝

短食管型食管裂孔疝

短食管型食管裂孔疝(不可回复性)

不可复性食管裂孔疝

滑动型食管裂孔疝

食管旁型食管裂孔疝
可能你觉得这些图像太多,使得记忆分散,下面一张图包含了4种食管裂孔疝。

如果你还觉得记忆困难,眼花两乱,直接记下面的示意图吧(这两幅图上下是一一对应的):

食管癌
因为食管癌的造影很复杂,所以不能用一句话简单概括。下面按照食管癌的早期和中晚期分别总结。
早期:局限 小(局限性黏膜皱襞紊乱和断、局限性管壁僵直;小充盈缺损、小龛影。)
中晚期:无“局限 小”(中晚期食管癌是整个食管的改变,不再是局限性改变。管壁僵直;充盈缺损、龛影;管壁狭窄。)

早期中下段食管癌
食管中下段黏膜皱襞局限增粗,中断,箭头所示,管壁僵硬。

早期食管癌
中晚期食管癌图像:


当然,还有其他的食管疾病的影像学表现,但是并不是很常见,就没有介绍。上面食管疾病的特征分散在各处,为了方便大家记忆,特别贴心地给你总结好了。希望对您的学习、工作有用!
[mark_d]
食管憩室:鼓个包
食管静脉曲张:蚯蚓样、串珠状
食管平滑肌瘤:指压征,环形征
贲门失弛缓:鸟嘴征
食管痉挛:螺旋状、波浪形
反流性食管炎:针尖样钡点、颗粒状改变
食管裂孔疝:膈上疝囊
食管癌早期:局限 小(局限性黏膜皱襞紊乱和断、局限性管壁僵直;小充盈缺损、小龛影。)
食管癌中晚期:无“局限 小”(中晚期食管癌是整个食管的改变,不再是局限性改变。管壁僵直;充盈缺损、龛影;管壁狭窄。)
[/mark_d]
[link href=”https://www.yxppt.com/”]转自影像PPT[/link]
