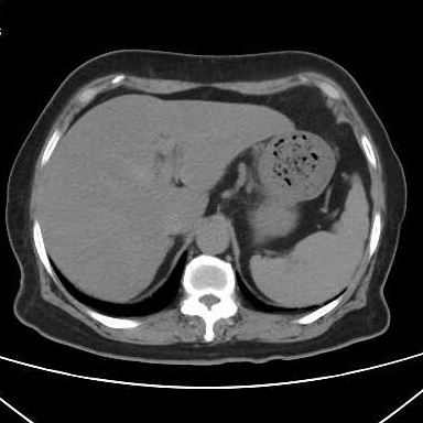
胃结石的2个病例
最近有几个吃山楂后形成胃结石的病历,第一个,老年女性,突发腹痛2天,持续性钝痛,阵发性加重,伴恶心,呕吐胃内容物,性状无异常,呕吐后无缓解,入院后抑酸治疗效果不理想,CT如下图。考虑...
固有耐药性
固有耐药性是细菌染色体基因决定的天然遗传特征,不同细菌物种对特定类别抗菌药物存在先天抵抗,且这种耐药性可稳定遗传给后代。以下按常见细菌类别,系统梳理临床中重要的固有耐药类型及代表药...
药敏试验解读教程:耐药性与交叉耐药机制详解
作为医疗专业人员,准确解读药敏试验结果是临床抗感染治疗的关键技能。本教程将系统阐述耐药性的基本概念、产生机制、判定标准,以及交叉耐药的形成原理和检测方法,并通过实际临床案例帮助您更...
血糖曲线-动态血糖监测
日尔贝综合征/吉尔伯特综合征(Gilbert syndrome)
又名体质性肝功能不良、遗传性非溶血性高胆红素血症。由于UGT1A1基因外因子上游启动子TATAA序列出现重复片段,致使UGT活性下降而导致非结合性胆红素在肝细胞内酯化过程障碍 男性多见,可发生于...







